
Una microestimulación cerebral permite recuperar visión en una persona ciega
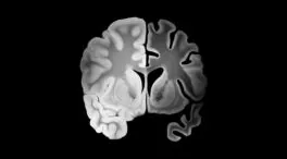
Un paciente con ceguera total ha recuperado parte de su visión tras participar en un ensayo de estimulación eléctrica

Un paciente con ceguera total ha recuperado parte de su visión tras participar en un ensayo de estimulación eléctrica

La primera ministra pide informes tras figurar el país en la documentación del fallecido delincuente sexual

El año pasado, la convocatoria sirvió para apoyar 23 nuevos proyectos en 18 hospitales de nueve comunidades

La alcaldesa de Mos ha declarado que la víctima y el supuesto autor del crimen «llevaban separados un tiempo»

El PP exige al Ministerio de Seguridad Social que aporte más información sobre el proceso que ya investiga la Fiscalía

La sanidad pública atrae tres euros de inversión externa por cada euro público y sostiene a 2.000 expertos

El ministro asegura que las declaraciones de Barrón les «obliga a entrar en un debate público» del que deberían abstenerse

El expediente sancionador no establece un plazo para la conclusión de la investigación, pero lo abordarán con «prioridad»

En el escrito señalan que existen indicios de que la menor fue vendida a otro matrimonio para casarla con su hijo

El régimen chino declara a dos generales «sospechosos de graves violaciones de la disciplina y la ley»

En un comunicado emitido el pasado 31 de julio a través de las redes sociales, los hermanos negaron los hechos

El juez archivó la investigación en julio de 2023 y la reabrió para incorporar información de las autoridades francesas

Aseguran que la Fiscalía de Córdoba nunca ha tenido entre sus causas «una tragedia de estas características»

Los agentes especializados llevaron a cabo un exhaustivo registro de la vivienda, de la cual retiraron diversas cajas

La investigación baraja que los 30 centímetros de vía rota localizados el lunes pudieron ser la causa del siniestro

Lo solicita ante la «ausencia de jurisdicción de los tribunales españoles» para conocer de hechos

El fiscal general defiende que el agente de inmigración actuó en defensa propia porque la víctima intento atropellarle

La mayoría absoluta del PP bloqueó citaciones y comisiones que ahora deberán tramitarse

El presunto autor es su marido de 81 años, que fue detenido por estos hechos y ha ingresado en prisión

La teleco ha resaltado que con este acuerdo avanza en su objetivo de proporcionar servicios de valor añadido

El máximo órgano rector también ha aprobado el presupuesto de la Fundación para 2026, que alcanzará «la cifra récord»

Estos hallazgos confirman que podrían contribuir a un cambio de paradigma en la lucha contra esta enfermedad

Altos niveles de metales pesados en el organismo se asocian a alteraciones en el desarrollo cognitivo y conductual

Su estudio ha ganado peso porque la ciencia los relaciona con efectos adversos sobre nuestra salud

El registro en el domicilio tuvo lugar sobre las 17.15 horas de la tarde del 4 de diciembre con la presencia de la madre

El ejemplar exótico, un caimán yacaré, originario de Sudamérica, fue entregado a los responsables del Zoo de Madrid

Se trata de una caja fuerte que se encontraba anclada a dicho camión y todo se encuentra en fase de investigación

Se investiga a tres varones, de 83, 21 y 27 años de edad, y a dos mujeres, de 85 y 55, como presuntos autores

El agente ha hablado de forma genérica de las investigaciones «complejas» que lidera la UCO

La formación apunta a cinco delitos como administración desleal, malversación y omisión del deber de perseguir delitos

Fuentes del cuerpo advierten de «su falta de experiencia en investigación» y de que no seguirá «una línea continuista»

La magistrada busca «dilucidar o no la coherencia de sus manifestaciones con los medios de prueba aportados»

El magistrado que investiga a Begoña Gómez por cinco delitos actúa a raíz de la denuncia de un particular

La Guardia Civil elabora un informe sobre posibles irregularidades en la aprobación de 22 parques eólicos en Teruel con una inversión de 800 millones

Agentes de la Unidad Medioambiental hicieron en julio pesquisas en diversos ayuntamientos del Maestrazgo

La velocidad «inadecuada» y las salidas del carril son dos de las «principales» causas de accidentes de tráfico en curvas

Andalucía contabiliza 14 mujeres asesinadas por violencia machista en lo que llevamos de 2025

La Policía investiga el suceso como un aparente homicidio, aunque por el momento no buscan «a nadie como sospechoso»

Un estudio muestra que se acumula en los ganglios linfáticos y puede alterar la reacción inmunitaria

La UCO establece que la hija de la empresaria «mantenía vinculación» con la presunta trama