Un estudio apunta que ómicron infecta "más rápido y mejor" que Delta, pero con menor gravedad en el pulmón
A las 24 horas de la infección, la variante ómicron se replicaba unas 70 veces más que la variante Delta y el virus SARS-CoV-2 original

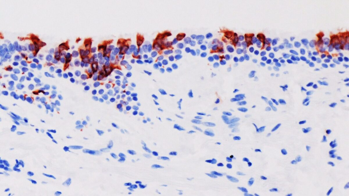
La variante omicrón del SARS-CoV-2 (en rojo) infectando tejidos de bronquios humanos. | Universidad de Hong Kong
Un estudio dirigido por investigadores de la Facultad de Medicina LKS de la Universidad de Hong Kong ha proporcionado la primera información sobre cómo la nueva variante preocupante del SARS-CoV-2, conocida como ómicron, infecta las vías respiratorias humanas.
Estos investigadores han descubierto que ómicron infecta y se multiplica 70 veces más rápido que la variante Delta y el SARS-CoV-2 original en los bronquios humanos, lo que puede explicar por qué ómicron puede transmitirse más rápido entre los humanos que las variantes anteriores.
Sin embargo, su estudio también ha evidenciado que la infección de ómicron en el pulmón es significativamente menor que la del SARS-CoV-2 original, lo que puede ser un indicador de una menor gravedad de la enfermedad. Esta investigación se encuentra actualmente en fase de revisión por pares para su publicación.
Pioneros en el uso de cultivos ‘ex vivo’
Los científicos responsables de este estudio, Michael Chan Chi-wai y John Nicholls, son pioneros en el uso de cultivos ‘ex vivo’ del tracto respiratorio para investigar muchas infecciones víricas emergentes desde 2007, como la gripe aviar y el coronavirus del síndrome respiratorio de Oriente Medio (MERS).
Ahora esta técnica se ha aplicado para entender por qué la variante ómicron puede diferir en la transmisión y la gravedad de la enfermedad de otras variantes del SARS-CoV-2. Este método utiliza tejido pulmonar extraído para el tratamiento del pulmón, que normalmente se desecha, para investigar las enfermedades víricas del tracto respiratorio.
Chan y su equipo aislaron con éxito la variante ómicron y utilizaron este modelo experimental para comparar la infección con el SARS-CoV-2 original de 2020, la variante Delta y la nueva variante. Descubrieron que ómicron se replica más rápidamente que el virus SARS-CoV-2 original y la variante Delta en el bronquio humano.
A las 24 horas de la infección, la variante ómicron se replicaba unas 70 veces más que la variante Delta y el virus SARS-CoV-2 original. En cambio, ómicron se replicó con menos eficacia (más de 10 veces menos) en el tejido pulmonar humano que el virus original, lo que puede sugerir una menor gravedad de la enfermedad.
Chan puntualiza que la gravedad de la enfermedad en los seres humanos no está determinada únicamente por la replicación del virus, sino también por la respuesta inmunitaria del huésped a la infección, que puede dar lugar a una desregulación del sistema inmunitario innato, es decir, a una ‘tormenta de citoquinas’.
“También se ha observado que, al infectar a muchas más personas, un virus muy infeccioso puede causar una enfermedad más grave y la muerte aunque el propio virus sea menos patógeno. Por lo tanto, junto con nuestros recientes estudios que demuestran que la variante ómicron puede escapar parcialmente a la inmunidad de las vacunas y a la infección anterior, es probable que la amenaza global de la variante ómicron sea muy importante”, ha advertido el científico.
